トップページへ

 皮膚表面のめくれた角層や毛・爪、小さな水ぶくれの内容、捕獲した小さな昆虫などを直接、あるいは染色して顕微鏡で観察します。痛くはなく、結果はその場でお伝えできます。以下は実際の拡大画像です(x40 〜 x200 BとCはx1000)。

白癬菌

 @白癬菌(皮膚糸状菌)。糸のようにみえるのが菌糸で、病変部の角層で検出されます。カビの一種で、水虫やタムシの原因菌です。

カンジダ

 Aカンジダ菌(分芽菌)。糸のような仮性菌糸と種のような「胞子」が多数みられます。カビの一種で、赤ちゃんの「おむつかぶれ」や「あせも」に似た病変をつくり、よく誤診されています。

癜風菌

 Bマラセチア菌(癜風菌)。カビの一種ですが、常在菌で、どんな美女でも皮脂の多い顔や胸の毛穴に棲息しています。写真は院長の顔のうぶ毛を引き抜いて染色したものです(胞子が紫に染まっている)。授乳時に母親との接触で感染するのが始まりといわれています。病原性は通常ありませんが、夏場など体表に広がり、癜風という皮膚病の原因になり、頭や顔のTゾーンの湿疹(脂漏性湿疹)と関連が深いと考えられています。

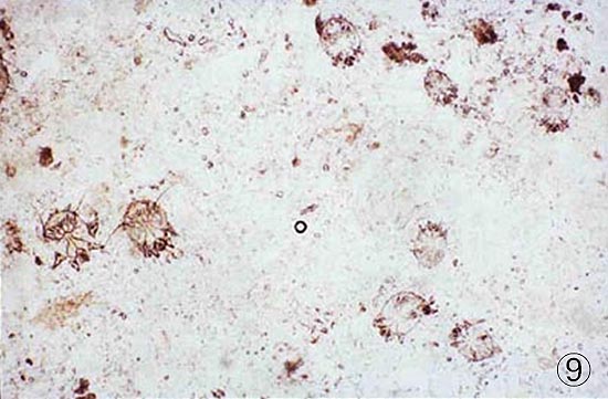
フソバクテリア

 Cフソバクテリア菌。通常は口の中の歯槽などに住む嫌気性細菌ですが、ステロイド外用の副作用として知られる口囲皮膚炎の患者では、口の周りの毛穴に多数棲息します。生毛の根っこにみえる鞘インゲンのような細長い細菌がそうです。

ウィルス性巨細胞

 Dウィルス性巨細胞。ヘルペスの際に水疱をこすって染色すると見られるおばけのような巨大な核をもった細胞です。ヘルペスか虫刺されなどの別疾患か迷った際の区別に役立ちます。

ニキビダニ

 E毛包虫(ニキビダニ)。顔など、皮脂の多い部の毛穴に住む常在のダニで、どんな人でもみつかります。ふつう病原性はありませんが、異常に増殖すると中年のにきびや湿疹の原因になったりします。

ニキビダニ2

 F毛包虫(その2)。湿疹型のニキビダニ症のかさぶたの顕微鏡写真です。この中に何匹の虫がいるかわかりますか?答えは13匹です。

疥癬虫

 G疥癬虫(ヒゼンダニ)。人の角層に寄生して卵を産むダニで、激しい痒みを伴います。老人施設などで拡がり問題となっています。右上が成虫で、左に連なっているのは産み落とされた卵です。

疥癬虫2

 H疥癬虫(その2)。免疫の低下した患者には爆発的に増えることがあり、ノルウェー疥癬と呼ばれます。免疫抑制中の患者さんに生じたかさぶたの顕微鏡写真で、8匹が見られます。

アタマジラミ

 Iアタマジラミ。小児の頭皮に寄生するシラミで、しばしば学校などで集団発生します。

  ケジラミ

 Jケジラミ。外陰部の陰毛に寄生するシラミで、毛についているのは虫卵です。

シバンムシアリガタバチ

 Kシバンムシアリガタバチ。古い畳にわくシバンムシという昆虫を宿主とする、蟻のような形をした蜂の1種です。余り知られていませんが家庭でのやっかいな虫刺されの原因となり、ダニなどの虫刺されと間違われていることがあります。多数刺された患者さんが持ってきたものを撮りました。

ネコノミ

 Lネコノミ。犬のノミはほとんど人を刺しませんが、ネコノミはよく下肢からピョンピョン上がってきて刺します。野良猫が家に入ってきてじゃれたり、子を産んだ時になどは要注意です。これも患者さんが持ってきました。

 トップページへ